Электронная микрофотография поверхностных клеток ПЭКК на 3сутки культивирования.

Митоз в недифференцированной клетке проэмбрионального клеточного комплекса каллуса гречихи татарской на 4 сутки культивирования (Среда 4X).

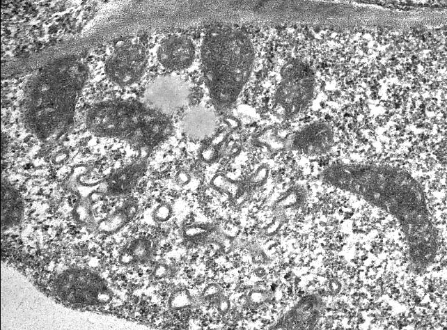
Разветвленная сеть митохондрий в клетках каллуса гречихи татарской на среде с Брефельдином А.

Микротрубочки в секретирующей клетке поверхности проэмбрионального клеточного комплекса в каллусе гречихи татарской на 4 сутки культивирования.

Позитивное окрашивание на арабиногалактановые белки (реагентом Ярива) поверхностных клеток ПЭКК каллуса гречихи татарской.

Позитивное окрашивание на фенолы (ванилином) поверхностных клеток проэмбрионального клеточного комплекса каллуса гречихи татарской.

Трехмерная модель кондуита нерва с аллотрансплантацией эмбриональной нервной ткани на стадии Е14 (Выполнена в 3DS Max).
Взаимодействие нейрона с клетками-сателлитами при аллотрансплантации эмбриональной нервной ткани в разрыв седалищного нерва крысы.
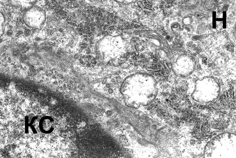
Щелевые контакты между нейроном и клеткой-сателлитом при аллотрансплантации эмбриональной нервной ткани в разрыв седалищного нерва крысы.

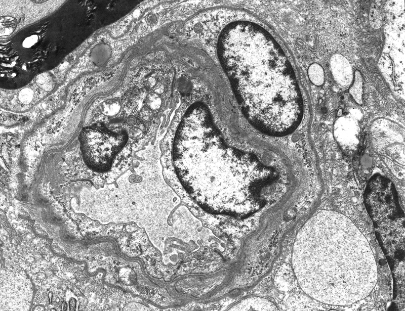
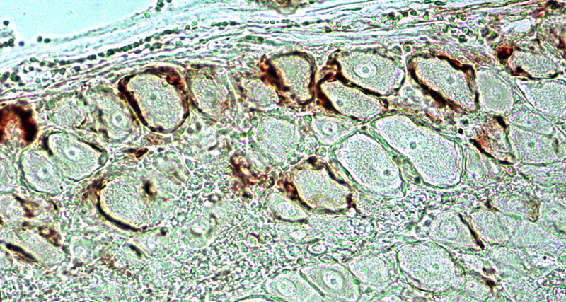
Многослойная оболочка, образованная клетками-сателлитами чувствительных нейронов на 90 сутки после лигирования седалищного нерва крысы.

Дегенерирующий чувствительный нейрон в результате травмы седалищного нерва крысы.

Нейрон с клеткой сателлитом при тубуляции нерва с Na-карбоксиметилцеллюлозой

Чувствительный нейрон спинального ганглия крысы при аллотрансплантации эмбриональной нервной ткани в разрыв седалищного нерва крысы.

Инвагинации плазмалеммы клетки-сателлита в цитоплазму нейрона спинального ганглия при перерезке седалищного нерва крысы.

Взаимодействие нейрона с клетками-сателлитами на 90 сутки после лигирования седалищного нерва крысы.

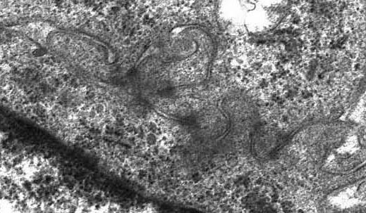
Щелевые контакты между волокнами в регенерирующем нерве, после аллотрансплантации эмбриональной нервной ткани в разрыв седалищного нерва крысы.

Капилляр в норме

Капилляр из миокарда больного ишемической болезнью сердца.

Виментин-позитивные клетки-сателлиты чувствительных нейронов в спинальном ганглии крысы.


